The latest tech provides new clinical findings, aiding in disease identification
Optometrists have the ability to identify and monitor several systemic diseases with the help of retinal imaging. Additionally because our diagnosis of eye disease as a result of systemic conditions can result in a change in the patient’s treatment by their PCP, we are a crucial member of these patients’ health care teams. This is particularly the case with diabetic maculopathy — diabetic macular edema (DME) and diabetic macular ischemia (DMI) — as the U.S. prevalence of diabetes has increased to 30.3 million Americans, or 9.4% of the population, according to the American Diabetes Association. What’s more, 14.7% of these Americans have diabetic retinopathy (DR), reveals the Journal of the International Society for Pharmacoeconomics and Outcomes Research.
Yes; diabetic maculopathy is the leading cause of vision loss in patients with diabetes, and it can occur at any stage of DR. However, some patients may be asymptomatic or present with 20/20 vision. Therefore, it is especially important for optometrists to be vigilant in diagnosing and monitoring those with this disease. Remember: Vision decreases with disease progression.
Here, I provide some background on DME and DMI, the imaging technology that has revealed new clinical findings, aiding in the detection and monitoring of both, and I discuss preventative measures.
DME
The pathogenesis of DME is multifactorial. It is characterized by capillary leakage, fluid accumulation and macular thickening, following the breakdown of the blood-retinal barrier and release of vascular endothelial growth factor (VEGF), according to Ophthalmology. Other causes of DME include vitreoretinal interface abnormalities, such as vitreomacular traction (VMT) or epiretinal membrane (ERM), which can cause thickening of the macula and, thus, contribute to the pathology of DME.
Clinically significant macular edema (CSME) is defined by the Early Treatment Diabetic Retinopathy Study as: retinal thickening within 500 µm of the macular center; hard exudates within 500 µm of the macular center with adjacent retinal thickening; and one-disc diameter of retinal thickening, within one-disc diameter of the macular center. It has been the most widely used criteria for DME.
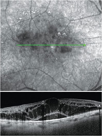
The advent of OCT has dramatically improved our ability to detect and manage DME, rather than the presence of CSME, a diagnosis made by macula slit lamp examination. For example, OCT has opened our eyes to focal and diffuse DME. Some patients with focal DME, characterized by localized leakage from microaneurysms and 20/20 vision, may be monitored closely with three-month follow-up visits rather than treated. While those with diffuse DME, leakage that involves the entire circumference of the fovea, are treated.
Currently, DME is categorized as center vs. non-center-involved, based on SD-OCT. Center-involved DME is characterized by loss of foveal contour, cystoid macula edema involving the center of the fovea, neurosensory detachment involving the center of the fovea and increased central subfield thickness.
Anti-VEGF is the first line of treatment for any patient with center-involved DME, according to the Journal of Ophthalmology. Non-centered involved DME, retinal thickening and/or cystic spaces not directly involving the center of the macula may be treated initially with a focal laser if the patient’s vision is affected, reports Retina.
DMI
Until recently, DMI was identified as a cause of central vision loss in diabetic patients. It is an irreversible vision-threatening complication in cases with or without DME. The condition is characterized by the occlusion and loss of the macular capillary network or capillary dropout, according to the American Journal of Ophthalmology.
The availability of OCT-A has shown several new clinical findings in DMI patients. These clinical signs are paramacular areas of capillary nonperfusion, impairment of the choriocapillaris flow and enlargement of the foveal avascular zone (FAZ). Abnormalities in the structure or perfusion of the FAZ results in vision impairment and a poor prognosis because the condition cannot be treated.
DMI should be ruled out in patients who have poor vision at presentation or despite attempted treatment for DME. Even in patients without DR, the FAZ can be enlarged, which reflects the disease severity, reports Retina. Thus, FAZ assessment is beneficial in educating patients at risk on better diabetes control.
PREVENTATIVE MEASURES
To maintain the diabetic maculopathy patient’s vision, all those who have DME should be referred to a retinal specialist. Although anti-VEGF is the first line therapy for center-involved DME, patient monitoring every three months may be an option for those with 20/20 or non-centered involved DME or focal/grid laser. Chronic DME is treated with corticosteroids, while vitrectomy is best in cases of DME with VMT and/or ERM.
That said, optometrists can help prevent the onset of diabetic maculopathy by educating patients who have poor glycemic control, hypertension and high serum cholesterol that these items place them at higher risk for the sight-threatening condition. By providing such education, these patients may make dietary/lifestyle changes.
UPHILL BATTLE
Ideally, preventing the development of diabetic maculopathy should be the best option to avoid vision loss, but given the steady rise in diabetes-related vision loss, we are increasingly faced with the diagnosis of the condition and, thus, providing related patient education. The greatest impact optometry can have on these patients’ lives is in educating them of retinal findings and communicating findings with the PCP, thereby helping to prevent life-threatening disease changes. OM


