Diagnosing and managing AMD, assessing contrast sensitivity, dark adaptation and retinal function represents a new and advanced area for practitioners to expand their patient care. (In last year’s Optometric Management’s AMD Practicing Medical Optometry section, Dr. Pamela Lowe wrote an excellent article on how to create an AMD Center of Excellence. See https://bit.ly/2IjXkuU .)
This article focuses on management, specifically, six tips for prescribing and dispensing macular carotenoid supplements in-office.
For this article, let’s assume that the condition has been diagnosed, and let us focus on management by prescribing and dispensing macular carotenoid supplements in our practice.
1 GAIN KNOWLEDGE
I think it is important to say that, as doctors of optometry, we are scientists at heart. Being such, we should all be up-to-date on the latest studies and reviews of the most recent literature on conditions we wish to manage in our practices. This includes AMD and macular carotenoid supplementation.
To acquire the latest studies and reviews of the most recent literature on AMD, I recommend visiting PubMed and conducting a search on “macular carotenoid supplementation.”
Remember, every prescribing decision we make in practice should be based on scientific research. I review the research on a constant basis, and what we learn is that, over time, things change. For example, the AREDS study didn’t assess mesozeaxanthin.
3 PROVIDE THE “WHY”
In addition to explaining a patient’s AMD risk factors and reviewing the findings used in determining their specific diagnosis, we must explain the treatment options we prefer and why!
Once I have reviewed those findings, I explain why I am recommending the specific macular carotenoid formulation of choice. I explain the research findings to validate why increasing macular pigmentation is critical. I also discuss how this increased macular pigmentation can help many visual conditions, not just AMD, and why the patient should take it based on their risk factors and clinical findings.
Patients may relate the experiences of a parent or grandparent who had AMD and experienced a loss of quality of life after losing vision and, in some cases, going blind. Remember, you are the eye doctor, and the patient trusts you to provide them with the best care. Therefore, prescribe what they need; you lead them.
4 EDUCATE ON THE “IN-OFFICE” BENEFIT
I also tell the patient why I dispense the supplement in my office. For a patient to go to the store and see all of the bottles of supplements in front of them is overwhelming. Patients tend to choose a product based on a few things, the first one being price. We see this all the time with patients who take specific supplements. They often pick the lowest-priced option.
MACULAR CAROTENOID SUPPLEMENT MANUFACTURERS*
*Visit optometricmanagement.com for updates to this listing. This listing was compiled by the Optometric Management staff.
5 PROVIDE COMPETITIVE PRICING
Although patient education on the benefit of purchasing a supplement in-office will increase the likelihood our patients will acquire the one we’ve prescribed vs. selecting one based on price, the supplement we offer should, nevertheless, be priced reasonably.
Patients will understand that “good” supplements may not be cheap, but when priced out per day, they realize their cost is reasonable.
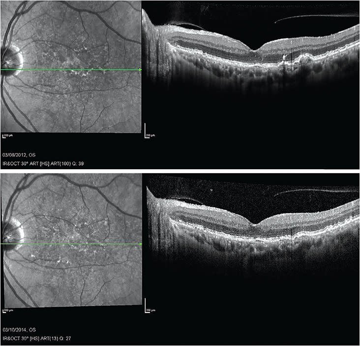
6 REVEAL RESULTS
We should show the patient results, for example, on subsequent OCT scans how their drusen has either appeared to have stabilized or shrunk in size. (Contrary to belief, this does happen, and frequently!)
I compare these results over time for the patient, as the OCT scans make a strong impression on the patient, in terms of the importance of macular carotenoid supplementation.
REWARDS
Over the past four years, prescribing and dispensing macular carotenoid supplements in my practice has grown significantly.
Now, I get a number of referrals from patients who take the supplement I prescribe. They have told me they feel subjectively that their vision has improved.
We are the doctor; let’s act like it. OM


