The early identification of geographic atrophy (GA) is critical to preserving vision and optimizing patient outcomes as the disease progresses irreversibly. With advancements in optical coherence tomography (OCT) and other imaging technologies, clinicians can now identify GA and its precursors earlier than ever before, which improves proactive patient education, monitoring, and treatment considerations.
OCT risk factors for the development of GA include the presence of hyper-reflective foci—small reflective deposits in the neurosensory retina that indicate retinal pigment epithelium (RPE) stress—subretinal drusenoid deposits, and high drusen volume (see Figure 1). Patients with these findings should be monitored more closely in office.
The earliest OCT biomarker for GA is choroidal hypertransmission defects—bright columns extending under the retina and into the choroid due to a compromised RPE (see Figure 2). This structural change on OCT can be observed before visible retina atrophy, making it a crucial early warning sign that should prompt clinicians to educate patients and tighten the in-office monitoring schedule.
OCT can also identify the earliest signs of GA formation. Incomplete RPE and outer retina atrophy (iRORA) is identified on OCT when hypertransmission defects are seen beneath an area of RPE attenuation that is accompanied by photoreceptor degeneration in the outer retina. Other findings of iRORA also include loss of the external limiting membrane; disruption of the ellipsoid zone; and a hyporeflective, wedge-shaped band in the outer plexiform layer (see Figure 3). The Classification of Atrophy Meetings (CAM) group has identified iRORA as “nascent GA”—a signal that the progression to GA has begun.1
Complete RPE and outer retina atrophy (cRORA) is defined by CAM as a 250 μm continuous hypertransmission zone with overlying atrophy of the photoreceptor and RPE layers (see Figure 4)—a state that meets the clinical definition of GA. This stage is significant because it aligns with studies that have evaluated complement cascade inhibition therapy for GA treatment. Because cRORA is the stage targeted by these clinical trials, identifying it promptly is essential for discussions on treatment options.
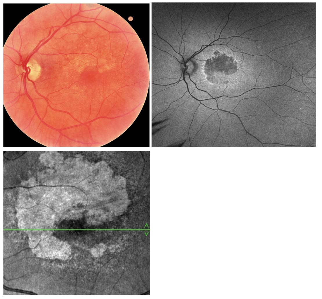
In addition to OCT, imaging modalities such as fundus autofluorescence (FAF), en face imaging, and color fundus photography play an important role in tracking GA progression (see Figure 5). These tools help correlate findings across imaging methods, provide a visual reference for monitoring lesion size over time, and enhance patient education by illustrating disease progression in a way that is easier for patients to understand, compared to OCT.
Collaborating with retina specialists is important for patients’ access to available treatment options. These treatments are used more commonly now than they were a year ago due to their extended availability. However, retina specialists may have differing opinions on when and for whom to recommend these treatments, so engaging in discussions with your local retina specialists can improve communication with your patients. Optometrists should continue to co-manage these patients for the long term with retina specialists for the best patient outcomes.
Reference:
- Jaffe GJ, Chakravarthy U, Freund KB, et al. Imaging features associated with progression to geographic atrophy in age-related macular degeneration: Classification of Atrophy Meeting Report 5. Ophthalmol Retina. 2021 Sep;5(9):855-867. doi:10.1016/j.oret.2020.12.009
This editorial content was supported via unrestricted sponsorship.


