MEDICAL MODEL
diabetes
“Eyedentify” Diabetes Complications
Actively diagnose, treat and code for this disease.
CHARLIE FICCO, O.D., MORROW, GA.
Patients, particularly older ones, may present with several diabetes-related ocular complications on a daily basis. As primary eyecare providers, we are uniquely qualified to not only manage the disease’s ocular complications, but to also educate patients on how best to take care of themselves.
Here, I discuss diabetes in the eye, the most up-to-date treatment strategies and codes (see “Common Codes for Diabetes Complications,” page 32).
Ocular adnexa
Uncontrolled diabetic patients (those who do not check their blood sugar often enough and/or do not follow a strict regimen of diet and exercise) are at high risk for developing infections, such as preseptal and orbital cellulitis, vs. their controlled counterparts due to a weakened immune system.
Preseptal cellulitis presents as acute lid erythema and edema restricted to the soft tissues preceding the orbital septum. The bacterial infection is usually due to the local spread of dacryocystitis (nasolacrimal sac swelling), a neighboring sinusitis, from eyelid trauma, hordeolum or an external ocular infection.
The most efficacious treatment is oral antibiotics.
Orbital cellulitis is characterized by a severely edematous painful upper eyelid, often accompanied by ophthalmoplegia, lid erythema and fever. An afferent pupillary defect may be present depending on the amount of optic nerve involvement. This condition places patients at risk for meningitis and can lead to death.
The management protocol for orbital cellulitis is immediate referral to the nearest ER for stat CT, blood cultures and iv antibiotics.
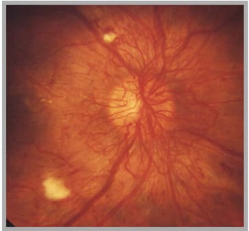
PHOTO CREDIT: NATIONAL EYE INSTITUTE
Abnormal new blood vessels and scar tissue that forms on the surface of the retina are characteristic of proliferative retinopathy.
Ocular musculature
Uncontrolled diabetes, which is a microvascular disease, may cause poor circulation of the microvasculature that feeds the extra-ocular muscles. This can elicit ptosis secondary to levator weakening, as well as strabismus secondary to cranial nerve (CN) III, IV or VI paresis. Generally, CN VI tends to be more commonly affected at 50%, with CN III a close second at 43%. Cranial nerve IV is rarely affected at 7%, says a study in Ophthalmology.
CN VI paresis patients present with an acute, constant horizontal binocular diplopia, which worsens when the patient looks toward the affected muscle. In most cases, this is the condition’s only sign. Fortunately, if the VI nerve has not sustained too much damage, the strabismus usually resolves within three months.
CN III paresis patients present with ptosis, exotropia and hypotropia in the affected eye. The latter is known as the characteristic “down and out” appearance. The patient may present with acute diplopia, depending on the level of ptosis involvement. If the pupillary reflex is spared from diabetes-caused ischemic injuries, you can rule out an aneurism and/or a compressive lesion on the third cranial nerve. This is because the parasympathetic fibers that control the pupil run on the nerve’s outside. If the pupil is dilated, this represents a true ocular emergency, and the patient should present to the nearest ER via ambulance.
CN IV paresis is difficult to diagnose due to the complications of the Parks-Bielschowsky three-step cover test. These patients usually present with acute symptoms of vertical diplopia. The affected paretic eye has a hypertropic appearance, which worsens when the patient looks toward the opposite side of the affected muscle.
When a diabetic patient presents with strabismus, consider the “whole” patient. If the patient is age 55 or older, the pathology is most likely microvascular. If the patient is younger than age 55, rule out compressive lesions affecting the cranial nerves by having the patient perform a visual field test and referring him/her for a neurological evaluation.
The ocular surface
Peripheral neuropathy, which is diabetes-induced nerve damage that causes loss of sensation, numbness and occasionally feet, leg or hand pain, can affect corneal sensitivity, interrupting the neurotransmission feedback loop. This, in turn, causes an increase in ocular surface inflammation and an elevated risk of dysfunctional tear syndrome. So, diabetic patients tend to have dry eye disease.
Treatment for these patients involves the aggressive use of preservative-free tears, as well as anti-inflammatory therapy (when inflammation is present) to alleviate any epithelial defects, which can place these patients at risk for keratitis. The tears can be used as much as necessary. Steroids are typically prescribed q.i.d., and cyclosporine ophthalmic emulsion 0.05% (Restasis, Allergan) is usually prescribed b.i.d.
Research reveals diabetic patients also exhibit a growing incidence of corneal epithelial pathology, such as punctate epithelial erosions, recurrent corneal erosions and corneal ulcers. The reason: Type 2 diabetics have an increase in sorbitol (a sugar alcohol the body slowly metabolizes), which can, in turn, damage the corneal epithelium. Specifically, increasing levels of glucose in the blood cause an increase in sorbitol, which induces a decrease in hemidesmosomes in the corneal epithelium. This reduction causes a weakened adhesion of the epithelium to the underlying stroma, leading to an increase in the breakdown of the epithelium.
For this reason, when selecting contact lenses for diabetic patients, prescribe strict daily wear, explain the importance of compliance on lens disposal, and educate on the significance of using efficacious cleaning and storage solutions. Also, direct these patients to immediately remove lenses if redness, discomfort, foreign body sensation or decreased vision occurs, as this may signal a serious infection.
| Non-Proliferative Diabetic Retinopathy | ||
|---|---|---|
| DESCRIPTION | PATHOLOGICAL SIGNS | TREATMENT |
| Mild | Occasional microaneurysms, hemes or exudates | Photodocument, and re-examine in six months. |
| Moderate | Hemes and/or microaneurysms and cotton wool spots in three to four quadrants | Photodocument, and re-examine in three months. |
| Severe | Large hemes, cotton wool spots and venous beading in two quadrants IRMA present | Retina referral. >50% progress to PDR. Re-examine in one to three months. |
| Common Codes for Diabetes Complications* | |
|---|---|
| DIAGNOSIS | CODE |
| Secondary Diabetes Mellitus w/ophthalmic complications | 249.4, 249.5, 249.50, 249.51 |
| Diabetes Mellitus w/ophthalmic complications | 250.50 − 250.53 |
| Diabetic Cataract | 366.41 |
| Orbital Cellulitis | 376.01 |
| Pre-Septal Cellulitis | 373.13 |
| Paralytic Strabismus unsp. | 378.50 |
| Keratoconjunctivitis Sicca | 370.33 |
| Superficial Keratitis NOS | 370.20 |
| Diabetic Cataract | 366.41 |
| Diabetic Retinopathy all classifications | 362.01-362.06 |
| Clinically Significant Diabetic Macular Edema | 362.07 |
| Diabetic Optic Nerve Papillitis | 377.31 |
| *Please keep in mind that ICD coding convention requires that you code the systemic disease state as your PRIMARY diagnosis and any specific ocular manifestations as your SECONDARY diagnosis. | |
Lens
In addition to the pathological changes in the cornea epithelium caused by an increase in sorbitol, this increase also induces an escalated rate of premature cataract formation. In addition, this sorbitol increase results in refractive error shifts secondary to infusion of water into the lens matrix. Both hyperopic and myopic shifts are seen, but myopic shifts are more common. This is a frequent finding in newly diagnosed diabetic patients.
To best manage these patients, re-refract them four to six weeks after their first exam when their blood sugar is (hopefully) better controlled, to provide the most accurate prescription.
When co-managing cataract surgery patients, keep in mind that a long duration of post-operative anti-inflammatory therapy may be necessary to prevent complications, such as cystoid macular edema. Also, make sure the antibiotic drops are used q.i.d. for nine days post-op to prevent infections.
Vitreous and retina
Non-proliferative diabetic retinopathy can be mild, moderate or severe. (See “Non-Proliferative Diabetic Retinopathy,” above.) Proliferative retinopathy is characterized by neovascularization in the retina and optic disc due to advanced capillary closure-caused ischemia. This occurs secondary to hypoxia in the posterior pole, causing an increased VEGF level. Neovascularization of the Iris (NVI), new vessels in the retina (NVE) or new vessels of the disc (NVD) are characteristic. These patients often present with decreased VA and/or floaters, secondary to vitreous hemorrhage.
PRP remains the mainstay treatment for proliferative retinopathy. The procedure reduces the need for oxygen in the posterior pole and subsequently decreases VEGF levels, thus preventing neovascularization. Steroid injections and implants have been shown efficacious in treating macular edema in these patients, and anti-VEGF medications injected directly into the vitreous cavity have proven successful as well.
Optic nerve
The optic nerve is acutely at risk for damage in uncontrolled diabetes, secondary to its reliance on the microvasculature of the posterior ciliary artery. Uncontrolled diabetic patients are at a great risk for anterior ischemic optic neuropathy, retinal artery occlusion, retinal vein occlusion, worsening glaucoma and diabetic papillitis. All these complications are worse with concomitant microvascular disease, such as hypertension and hypercholesterolemia.
Our role
In our yearly comprehensive examinations, we are able to detect and closely monitor ocular complications. This not only allows us to be the “gatekeepers” to our patients’ health, but it also enables us to be influential in their education. Motivating patients to monitor their blood sugar and maintain a healthy diet and exercise regimen may be one of our most important duties. One day, we may be able to influence a change from diabetes being the leading cause of blindness in the United States to a rare complication. OM
|
Dr. Ficco practices with 10 O.D.s and four M.D.s at Clayton Eye Center in Morrow, Ga. He serves as the clinical director, residency supervisor and externship coordinator. He lectures nationally on ocular disease and has written several articles on eyecare. E-mail him at charficco@aol.com, or send comments to optometricmanagement@gmail.com. |


