WAS THIS PATIENT’S WRINKLED RETINA RECURRENT?
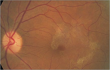
A 70-YEAR-OLD Caucasian female with a history of macular surgery for a “wrinkle” in her retina OS, a few years ago, presented for a routine eye exam with no visual complaints.
She had cataract surgery and no significant medical history.
On examination, her VAs were 20/25 OD and 20/30 OS, and pupils were equally round with no afferent pupillary defect. Anterior segment exam was unremarkable OU.
Dilated fundus exam revealed a posterior vitreous detachment (PVD) OU and an epiretinal membrane (ERM) in the macula OS, which was confirmed by SD-OCT and showed no associated complications, such as cystoid macular edema or macular hole formation. OD was unremarkable.
Was this patient’s ERM recurrent?
Here, I provide an overview of ERMs, their classification, clinical signs/symptoms, the devices that can aid in their diagnosis, how to best manage them and the answer to the question above.
OVERVIEW
ERM, also called cellophane maculopathy, macular pucker, surface-wrinkling retinopathy, epiretinal gliosis and premacular fibrosis, is a common finding in people age 50 and older. In fact, an estimated 30 million older people in the United States have an ERM in at least one eye, according to the Transactions of the American Ophthalmological Society. In addition, ERMs are bilateral in approximately 10% to 20% of patients, according to the Journal of Ophthalmology, so careful examination of the fellow eye is recommended.
The condition is a vitreomacular interface disorder, commonly caused by a PVD, and has the potential to cause sight-threatening complications, such as vitreomacular traction, macular hole formation or cystoid macular edema.
CLASSIFICATION
The ERM is classified as either idiopathic, due to PVD, or secondary from retinal tears or detachments, retinal vascular diseases (including diabetic retinopathy or retinal vein occlusion), ocular surgery, blunt force trauma or intraocular inflammation. Compared with an idiopathic ERM, secondary ERMs tend to occur in patients younger than age 50 and are associated with worse VAs.
CLINICAL SIGNS/SYMPTOMS
The early form of an ERM, or cellophane maculopathy, is observed as a thin, transparent membrane overlying the macula. Specifically, it appears as a glistening reflex, or sheen, on the inner surface of the retina. As the macula is not distorted with the early form, vision is not affected. Therefore, cellophane maculopathy can be an incidental finding on routine clinical examination.
As the membrane thickens and contracts, there is an appearance of superficial retinal folds or traction lines, known as macular pucker, surface-wrinkling retinopathy, epiretinal gliosis or premacular fibrosis. These appear as semi-translucent membranes that obscure and distort the underlying retina, resulting in decreased vision, micropsia, photopsia, metamorphopsia and loss of central vision. In severe cases, complications, such as retinal hemorrhages, exudates, vascular tortuosity or dilation, macular edema, macular pseudoholes or full-thickness macular holes (FTMH), can occur, resulting in further visual impairment.
DEVICES
The following five devices can aid in the diagnosis of an ERM:
- Amsler grid, microperimetry and automated 10-2 visual field. These items can help detect metamorphopsia and central scotoma, which indicate worsening of the ERM.
- Watzke-Allen slit beam test. This aids in detecting ERM associated pseudohole macular hole and FTMH, as it reveals central breaks in the vertical light beam.
- Fundus photography. This documents changes through time.
- SD-OCTA. This aids in detecting abnormal vascular changes within thickened ERMs from neovascular complexes or changes in the foveal avascular zone due to ERM changes.
- SD-OCT. This provides high-resolution imaging of ERM changes at the vitreoretinal interface, neurosensory retina and subretinal space to quantify macular thickness, monitor edema, detect other maculopathies (pseudomacular hole or vitreomacular traction) and outcome after ERM removal (recurrence of ERM).
MANAGEMENT
As most ERMs are asymptomatic and do not progress, conservative management with observation every six months to one year is recommended. In rare cases, ERMs even regress.
Surgical intervention, pars plana vitrectomy with ERM removal with or without inner limiting membrane removal, is recommended when vision is decreased (20/40 or worse) or it interferes with the patient’s quality of daily life. In most cases, surgery allows for good visual recovery, however, the prognosis depends on the duration of ERM, chronicity of associated complications and cause, with secondary ERMs having poorer visual outcome. Chronic ERMs may result in persistent traction leading to complications, such as cystoid macular edema and retinal pigment epithelial disruption, which are associated with a poorer prognosis. Patients with secondary ERMs, particularly those associated with diabetes, also have poorer visual outcome.
Long-term follow-up is necessary to detect reformation of the ERM after removal. In fact, post-surgical ERM recurrence is observed in up to 16.5% of cases, according to Retina. Other post-surgical complications include progression of nuclear sclerotic cataracts, retinal breaks or tear and detachment.
Learning Points
- ERMs can be idiopathic (PVD) or secondary (i.e. trauma).
- The majority of ERMs remain relatively stable.
- Surgery is indicated when vision is decreased (20/40 or worse) or ERM interferes with the patient’s quality of life.
- SD-OCT is excellent in helping to detect subtle ERMs, as well as associated maculopathies.
- Post-surgical ERM recurrence can occur.
THE ANSWER
If you diagnosed this patient as having a recurrent ERM OS, you are correct! Although her vision was decreased (20/30), she did not want additional surgery. Retinal photos and SD-OCT were obtained. She was educated on the finding, given a home Amsler grid and advised to return in three months. At this visit, her vision was unchanged, and OCT imaging showed no change in macular finding and thickness. The patient continues to be monitored with six-month visits and remains stable. OM


