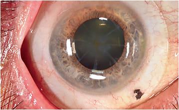
Patients who are suffering loss of vision due to a multitude of conditions and diseases — often considered “high need” — require rigid gas permeable (RGP) lens designs to function. These conditions include, but are not limited to, keratoconus, refractive surgery complications, high refractive errors, those in excess of +/- 8.00D, corneal transplant surgery and chronic dry eye disease, among many others.
Optometrists are in a unique position to dramatically change the lives of these populations — and create loyal patients in the process. While creating and developing a specialty lens practice involving RGPs and scleral lenses takes dedication and a lot of time, in my experience, it is rewarding. The following are actionable steps to take to do so:
1 GET EDUCATED
I suggest optometrists learn how to fit these lenses and market their newly acquired skills by attending related educational seminars. In my opinion, two of the best specialty lens seminars are the International Congress of Scleral Contacts (ICSC), held every July in Florida, and the Global Specialty Lens Symposium* (GSLS), held every January in Las Vegas.
At these seminars, O.D.s will meet lens manufacturers and leaders in the RGP and scleral lens fields from around the world. I have found that the lens manufacturers (labs) want optometrists to be successful; so, they will go out of their way to help with this patient population. In many cases, labs will offer hands-on experience with the lenses at shows and, perhaps, discounts on diagnostic lenses.
In addition, I recommend joining the Scleral Lens Education Society (www.sclerallens.org ), as it offers a wealth of information, such as fitting tips and videos, and it enables connecting with other members for help/advice. I suggest making an effort to become a fellow of this organization, as doing so lets prospective patients, eye care providers, educational institutions and contact lens labs know that you have achieved a certain level of competence in this specialty.
2 CONTACT COLLEAGUES
Let fellow O.D.s, ophthalmologists and opticians in the community know you are building a specialty lens practice. This can be done via letters on practice stationary and/or by email and, if possible, by personally visiting these practitioners. Communicate with these eye care providers that the patients will be referred back after fitting and then demonstrate this behavior in interactions.
When the patient arrives for the initial visit, send a thank you note (preferably by email) to the referring doctor. As a good partner, make sure to send an email or letter to the provider who referred the patient, detailing the status of the patient’s condition, what technology was used, the patient’s corrected VA and include images at the conclusion of the interaction with the patient. (See “Invest in Equipment” on p.27.) In addition, referring doctors will appreciate information on follow-up visits, as this information keeps the referring doctor in the loop, giving her additional reasons to keep referring patients.
3 DEVELOP A WEBSITE
Ideally, the website should have a unique domain name dedicated to this subspecialty, so both prospective patients and fellow eye care providers can find it.
Specifically, this website at this domain should explain the benefits of RGPs and scleral lenses, challenges faced by these patients, including ocular photos and other anterior segment images. Additionally, the website should discuss, perhaps in regularly updated blog posts, the conditions and diseases treated with these lenses. (An experienced web designer can help create the domain and come up with key words to help with Google rankings.)
After fitting a patient with a specialty lens, O.D.s can ask the patient whether he would participate in a short video in which he speaks about his vision before and after the lens fitting. Posting such videos provides patient testimonials. (However, be sure that you’re following steps to ensure HIPAA compliance.)
4 CREATE A SOCIAL PRESENCE
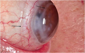
O.D.s should designate professional Facebook and Instagram pages, as these are widely used social media platforms. On these sites, interesting cases can be posted, along with ocular photos and images. (Such as those presented at right.) These posts should be comprised of information about the patient’s vision and, perhaps, comfort issues before seeing the optometrist and how he is doing now. I recommend the doctor do the posting, so as to accurately describe a case, a condition, a treatment and the details of an ocular photo. (Of course, patient permission should be obtained and compliance with HIPAA considered before doing this.)
Additionally, I recommend joining groups on social media pertinent to the profession or to the communities dealing with those ocular diseases, such as keratoconus, dry eye disease and other ocular conditions the optometrist treats. If you feel comfortable, you may want to contribute to the conversations taking place on these sites. (Many patients are both physically and emotionally traumatized by their condition and may have no clue what steps to take.) O.D.s should consult with their attorneys for advice on how to safely contribute to these conversations.
5 INVEST IN EQUIPMENT
Imaging technology that allows the capture of clear, high-resolution anterior segment images will facilitate fitting patients and patient education. With regard to the latter, these photos, along with any other photos or images captured — such as corneal topographies, anterior segment OCT, meibomian gland, etc. — should be explained to the patient, so he or she understands the reasoning behind a recommended lens, the purpose of a prescribed treatment and what can be expected during the fitting process. For those patients not wearing RGPs or scleral lenses, the images may be a vehicle for promoting the specialty lens practice.
When acquiring new technology, I recommend posting the images of the technology on the practice website (see more on the website above) and on social media platforms (more on this above), so prospective patients and fellow eye care providers can see the technology employed in this specialty. In the captions, explain what it is, why it is used in practice and how it will improve the level of patient care.
6 ASSESS TIME AND COSTS
This patient population requires a great deal of chair time. In addition, laboratory costs can easily exceed what insurance providers are willing to pay the services. For this segment to be successful, the O.D. should understand the practice’s cost to provide this specialized care and the reimbursements provided by third party payers partners.
A REWARDING EXPERIENCE
Building a specialty RGP and scleral lens practice differentiates a practice because it provides a service to an underserved population of patients. Additionally, the service changes lives and creates a grateful and, therefore, devoted patient population. OM
*Global Specialty Lens Symposium is presented by PentaVision, Optometric Management’s publisher.


