With variability in treatment efficacy for myopia, there are still no clear clinical guidelines on questions, such as when to initiate treatment, what considerations to use for initiating treatment, and how to tell whether someone is likely responding to a treatment.
Consequently, the development and application of a reliable and easily quantifiable surrogate marker that can be used in predicting short-, intermediate-, and long-term myopia control outcome would be extremely valuable in the continuous management of pediatric myopia.
To this end, choroidal changes in response to either optical or pharmaceutical treatment have been explored as potential surrogate predictors of long-term treatment efficacy. The choroidal changes examined include overall and regional changes in thickness, luminal area/volume (LA or LV), stromal area/volume (SA or SV), total choroidal area/volume (TCA or TCV), as well as choroidal vascularity index (CVI, the ratio between luminal and total area/volume).
The key characteristics needed to be a viable surrogate marker are biological plausibility, bidirectional changes, fast onset, and quantifiability. In this month’s column, I review how these four qualities apply to choroidal changes used as a myopia-control biomarker.
Biological plausibility
The biological plausibility of using choroidal changes as a myopia control biomarker has been well established. Evidence from animal models of different species has consistently demonstrated that the choroidal perfusion and the subsequent choroidal thickness is reduced in experimental myopia and accelerated axial elongation, and increased in axial inhibition.1,2 Additionally, the critical role of the choroid in relaying and enhancing the signaling cascade between retina, retinal pigment epithelium, to sclera has also been extensively reported.3 Finally, the time-sensitivity of choroidal thinning, which precedes permanent scleral stretching and axial elongation, also makes it an ideal candidate as myopia control biomarker.
Bidirectional changes
Significant choroidal thickening is consistently seen in several anti-myopia treatments in animal models, such as myopic defocus, antimuscarinics, dopamine agonists, and light exposures; while exposures that accelerate myopia progression and axial elongation such as hyperopic defocus or form deprivation induce thinning of the choroid.3,4
Fast onset
Despite significant variability in various animal models, the onset of choroid thickening reaches a meaningfully detectable level within minutes of the initiation of axial-inhibiting signals in experimental myopia and within days in clinical myopia interventions.5,6
Quantifiability
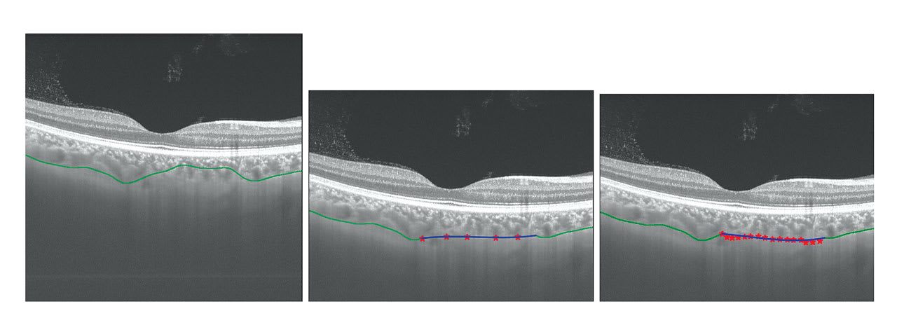
Due to the current inability to reliably measure such changes in the choroid, measurements from different instruments or analyzing software could result in dramatically different results (see Figure 1); these limitations are also why manual adjustment is often needed in choroid measurements.7 A lack of consistency in the protocol for choroidal measurement has also resulted in reduced comparability across studies.
More accurate tech needed
Despite all of the ideal characteristics of choroidal changes as a potential predictor for long-term myopia control efficacy, the primary challenge of incorporating such measure as a clinically feasible biomarker is the difficulty of reliably detecting subtle changes without influences from significant confounders, such as diurnal variation, the suboptimal performance of automated segmentation of choroid-scleral junction.
Until advancements in technology improve the resolution of OCT imaging and the availability of more reliable border-detecting algorithms, caution needs to be applied when generalizing findings of small changes of choroidal thickness of less than 20 µm to clinical practice. Moreover, further studies are warranted to validate the linear conversion between choroidal thickness changes measured from OCT B scans and axial length changes from A scans for more reliable use of choroidal responses in the long-term axial inhibition.
Finally, despite the consistent association between the anti-myopia efficacy and choroidal thickening, the inverse proposition may not be necessarily true, for which not all exposures that induce choroidal thickening are automatically viable myopia control options. Sufficient animal studies demonstrating the biological plausibility and long-term safety are necessary before such treatments are tested in pediatric myopes.
Nonetheless, the ability for early and reliable detection of choroidal changes is a valuable marker and is likely to predict long-term efficacy; if technology can be made more precise, it would allow poor responders to be identified much sooner, which allows more timely adjustment of dosing regimen or treatment modality. OM
References
- Zhou, X., et al., Choroidal blood perfusion as a potential “rapid predictive index” for myopia development and progression. Eye Vis (Lond), 2021. 8(1): p. 1.
- Zhou, X., et al., Increased Choroidal Blood Perfusion Can Inhibit Form Deprivation Myopia in Guinea Pigs. Invest Ophthalmol Vis Sci, 2020. 61(13): p. 25.
- Nickla, D.L. and J. Wallman, The multifunctional choroid. Prog Retin Eye Res, 2010. 29(2): p. 144-68.
- Hoseini-Yazdi, H., S.J. Vincent, M.J. Collins, and S.A. Read, Regional alterations in human choroidal thickness in response to short-term monocular hemifield myopic defocus. Ophthalmic Physiol Opt, 2019. 39(3): p. 172-182.
- Wildsoet, C. and J. Wallman, Choroidal and scleral mechanisms of compensation for spectacle lenses in chicks. Vision Res, 1995. 35(9): p. 1175-94.
- Meng, Q.Y., et al., Choroidal thickness, myopia, and myopia control interventions in children: a Meta-analysis and systemic review. Int J Ophthalmol, 2023. 16(3): p. 453-464.
- Hoseini-Yazdi, H., et al., Repeatability of wide-field choroidal thickness measurements using enhanced-depth imaging optical coherence tomography. Clin Exp Optom, 2019. 102(3): p. 327-334.


